AGENDA TU CITA YA !!!
RX PANORÁMICA 3D - CALI - BUENAVENTURA - PALMIRA
RX PANORÁMICA 3D - CALI - BUENAVENTURA - PALMIRA
SOMOS LA RED DE MÉDICOS PARTICULARES DEL VALLE DEL CAUCA
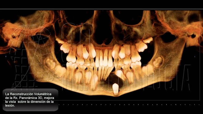
RX PANORÁMICA 3D
BUENAVENTURA
#1 - ORTHOX
#2 - RX DENTAL IMÁGENES DIANÓSTICAS
CALI
#1 - ORTHOX
PALMIRA
#1 - ORTHOX
Puedes adquirir nuestra Afiliación a 1 año para 2, 4, 6, 10, 15 personas, goza de descuentos recurrentes e ilimitados en la salud particular
